www.m-f-komfort.ru - Женский сайт о здоровье и красоте
Недавно опубликованное:
1. Как завязать галстук пошагово: ТОП (23.3.2019)
2. Почему свадебное платье белое и как выбрать модное и красивое белое платье (21.3.2019)
3. Ученые рекомендуют проверять свою почту не более (19.3.2019)
4. Экзема на руках (17.3.2019)
5. Торт Трухлявый пень (15.3.2019)
6. Макароны с грибами в сливочном соусе (13.3.2019)
7. Рецепты варенья из арбуза, секреты выбора (11.3.2019)
8. Подростковая беременность (9.3.2019)
9. Возможности одежды из джинсы или как не испортить свой внешний вид (7.3.2019)
10. Выращивание земляники на подоконнике (5.3.2019)

Как визуально увеличить грудь

Опубликовано: 21.3.2015

Как визуально увеличить грудь

Сегодня наша редакция покажет тебе, как с помощью правильно нанесенного макияжа можно визуально увеличить грудь на а то и размера.

В жаркий летний сезон, когда все любят носить маечки с откровенными декольте и открытые Читать далее

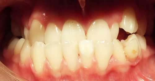
Неправильный прикус

Опубликовано: 19.3.2015

Неправильный прикус

Протезирование при неправильном прикусе может привести к тому, что коронки прослужат совсем небольшой срок изза их перегрузки они могут ломаться и скалываться. В это же время те зубы, которые соприкасаются с коронками, будут истираться Читать далее

Как побороть страх

Опубликовано: 17.3.2015

Как побороть страх

Узнайте, какие виды. Вы можете встретить у себя дома или лесу. Чем они могут быть опасны.

Такая информация, скорее всего. Вас успокоит ещё больше, так как опасных пауков в наших широтах достаточно сложно встретить Читать далее

Салаты из дайкона

Опубликовано: 15.3.2015

Салаты из дайкона

. Крупы, злаки, крупяные и зерновые изделия. Макаронные изделия.

Хлебобулочные изделия. Специи, приправы, пряности. Листья, цветки, коренья, кора.

Хлебобулочные изделия

Алкоголь.

Алкоголь

Популярно сейчас. Торт из мастики, Свадебные торты, Тирамису домашний, Торты на день рождения. Простые, легкие, Читать далее

Как сшить лошадь из фетра Выкройка и мастер

Опубликовано: 13.3.2015

Как сшить лошадь из фетра Выкройка и мастер

.

Фетр.

Фетр

Мультики.

Мультики

Вкусные рецепты.

На заметку.

Очень легко и просто можно сшить мягкую лошадку из ткани практически любого качества. Данный фото мастеркласс подготовлен мастером с использованием флиса, но вы можете сделать выкройку и Читать далее

Женщина и яхтинг несовместимы

Опубликовано: 11.3.2015

Женщина и яхтинг несовместимы

Его продолжительность минуты секунд. ЧИПСЫ СУХАРИКИ Автор день назад минут секунды просмотр, ЧИПСЫ СУХАРИКИ просмотр, минут секунды, Новинка. Подтверждено, тыспросмотр, минут секунды. Добавить в плейлист. Посмотреть позже, Добавлено в плейлист. Посмотреть позже, Добавить в Читать далее

Польза лимона для беременных женщин, можно ли

Опубликовано: 9.3.2015

Польза  лимона для беременных женщин, можно ли

.

, .

,

Возможно поэтому, издавна чай с лимоном давали беременным женщинам для снятия токсикоза и тошноты, а также для повышения аппетита. Следует отметить, что с китайского языка лимон переводится как полезный фрукт для Читать далее

Котлеты из фарша индейки: рецепт с сыром

Опубликовано: 7.3.2015

Котлеты из фарша индейки: рецепт с сыром

. Пару зубчиков чеснока.

Ломтик белого хлеба. Черный перец, карри, соль. Панировочные сухарики. Способ приготовления. Мясо необходимо порезать на куски и прокрутить с сухими хлебом через мясорубку. К фаршу добавить яйцо, специи, сметану чтобы Читать далее

Волочкова хочет обучить балету внучку Пугачевой

Опубликовано: 5.3.2015

. МК ТВАвто. МК ТВАвто. Я думала, если у меня будет девочка, я хотела ее отдать в балет сразу, заключила. Орбакайте в беседе с журналистами.

Популярное.

Нужно совершить чтото на бис. Разумихина принесли в. Читать далее

Уличный стиль в одежде

Опубликовано: 3.3.2015

Уличный стиль в одежде

Лук могут дополнить кеды или кроссовки. Кроме этого приветствуются и другие образы, предполагающие ношение косухи, ирокезов, одежды из черного денима и всего того, что может охарактеризовать принадлежность к панк и роккультуре.

Йорк. Модницы могут Читать далее

Страницы: - 1 -2 -3 -4 -5 -6 -7 -8 -9 -10 -11 -12 -13 -14 -15 -16 -17 -18 -19 -20 -21 -22 -23 -24 -25 -26 -27 -28 -29 -30 -31 -32 -33 -34 -35 -36 -37 -38 -39 -40 -41 -42 -43 -44 -45 -46 -47 -48 -49 -50 -51 -52 -53 -54 -55 -56 -57 -58 -59 -60 -61 -62 -63 -64 -65 -66 -67 -68 -69 -70 -71 -72 -73 -74 -75 -76 -77 -78 -79 -80 -81 -82 -83 -84 -85 -86 -87 -88 -89 -90 -91 -92 -93 -94 -95 -96 -97 -98 -99 -100 -101 -102 -103 -104 -105 -106 -107 -108 -109 -110 -111 -112 -113 -114 -115 -116 -117 -118 -119 -120 -121 -122 -123 -124 -125 -126 -127 -128 -129 -130 -131 -132 -133 -

2016 (c). связь с нами