www.m-f-komfort.ru - Женский сайт о здоровье и красоте
Недавно опубликованное:
1. Как завязать галстук пошагово: ТОП (23.3.2019)
2. Почему свадебное платье белое и как выбрать модное и красивое белое платье (21.3.2019)
3. Ученые рекомендуют проверять свою почту не более (19.3.2019)
4. Экзема на руках (17.3.2019)
5. Торт Трухлявый пень (15.3.2019)
6. Макароны с грибами в сливочном соусе (13.3.2019)
7. Рецепты варенья из арбуза, секреты выбора (11.3.2019)
8. Подростковая беременность (9.3.2019)
9. Возможности одежды из джинсы или как не испортить свой внешний вид (7.3.2019)
10. Выращивание земляники на подоконнике (5.3.2019)

> Перейти на ГЛАВНУЮ

Лечение кровоточивости десен в домашних условиях:

Опубликовано: 21.8.2017

Лечение кровоточивости десен в домашних условиях:

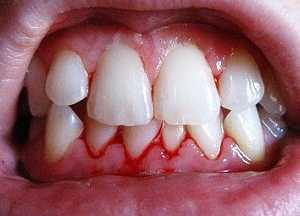
Когда нужно срочно обращаться к врачу. Существует множество причин кровоточив ости десен, рассмотрим основные из них воспалительные процессы полости рта пародонтит, стоматит, гингивит механические повреждения мягких тканей, химические и термические ожоги изменения гормонального фона в переходном возрасте, в период беременности заболевания нестомато логического характера вирусные инфекции, гемофилия, лейкемия, аутоиммунные болезни, сахарный диабет пренебрежение здоровым образом жизни нарушение питания, алкоголизм, курение. В ротовой полости своя особая флора, состоящая из разнообразных микроорганизмов. Когда микрофлора находится в равновесии, условно патогенные бактерии не приносят человеку вреда. Напротив, эти организмы участвуют в первичном переваривании пищи, способствуют синтезу витаминов и служат защитой для иммунной системы. Когда гигиена полости рта проводится недостаточно тщательно, то застрявшие остатки пищи начинают разлагаться, провоцируя неконтролируемый рост патогенной флоры. Тогда бактерии вызывают воспалительные процессы в полости рта, а их продукты жизнедеятельности источают гнилостный запах, выделяя сероводород и другие химические соединения. Их основное скопление сосредоточено в труднодоступных местах межзубных промежутках и участках между коронкой зуба и десной. В зависимости от бактерии возбудителя их рост приводит к различным заболеваниямгингивитустоматитупародонтозупарадонтитукариесу. Если не лечить эти недуги, можно лишиться одного или нескольких зубов, а иногда болезнь может даже затронуть. Запущенные случаи хуже поддаются лечению, поэтому при появлении неприятных симптомов следует сразу приступить к терапии.

Если десны не сильно кровоточат, можно попробовать устранить недуг в домашних условиях. Прежде всего, стоит уделять больше внимания качеству проведения гигиенических процедур и их регулярности.

Если десны не сильно кровоточат, можно попробовать устранить недуг в домашних условиях

Чистить зубы следует не менее двух минут, также обязательно проводить очистку поверхности языка и щек они тоже являются излюбленным местом размножения бактерий. Помимо общих рекомендаций, желательно использовать специальные средства.

Чистить зубы следует не менее двух минут, также обязательно проводить очистку поверхности языка и щек они тоже являются излюбленным местом размножения бактерий

Для профилактики и лечения заболеваний десен существует множество зубных паст. Независимо от состава, который варьируется у разных производителей, они обладают кровоостанавливающими и антисептическими свойствами.

Такие средства можно приобрести в аптеке или гипермаркетах. Рассмотрим пасты различных производителей. Лесной бальзам содержит в своем составе экстракт пяти целебных трав, в том числе хвою, пихту и кору дуба. Выпускается уже более летлечебные травы изготовлена на основе экстрактов шалфея, ромашки и боярышника. Для ухода за деснами содержит масло герани и облепихи при ее производстве используют натуральные противовоспалительные средства аллонтоин и бисаболол. Для размягчения зубного налета паста содержит молекулы хлоргекси дина действие основано на анти бактериальных ферментах, входящих в состав обогащена минеральными компонентами и растительными экстрактами шалфей, ромашка, эхинацея, мирра, мята и ратания. Не содержит в составе подсластителей. Невозможно однозначно определить, какая из этих паст лучше, все очень индивидуально. Если есть возможность, удобно использовать пробники.

Несмотря на то, что многие производители обещают результат уже чуть ли не после первого применения, не стоит ожидать такой быстрой победы над кровоточиво стью десен.

Однако если после периода использования средства состояние ухудшилось, то следует прекратить чистить им зубы. К сожалению, зубные пасты не всегда способны вылечить кровоточив ость десен, они скорее подходят для профилактики заболеваний, либо для только начинающихся проблем. Чтобы остановить развитие недуга и убрать кровотечение и неприятный запах изо рта, зачастую прибегают к помощи медицинских препаратов. Средства местного применения к ним относятся различные растворы, мази и гелиантисептик. Хлоргексидин средство используется в виде полосканий подробнее в статье как пользоваться хлоргекси дином для лечебного полоскания полости ртапрепарат. Ретрагель предназначен для ретракции десны, но учитывая его способность останавливать кровотечение, его можно использовать для этой целигели. Дента, Асепта входящие в их состав метронидазол и хлоргексидин оказывают противомикробное действие, подавляют анаэробные и аэробные бактерии, которые чаще всего вызывают воспаление тканей пародонта мазь. Солкосерил способствует заживлению ран и язвочек в полости рта, имеет регенерирующую функциюгель. Холисал помимо антимикробного, обладает еще и обезболивающим действием препарат. Камистад кроме противовоспалительного и противомикробного, обладает анестезирующим эффектоммазь. Линкомицин содержит в своем составе вещество, которое активно борется с грам положительными бактериями.

Препараты резорбтивного действия к ним относятся антибиотики, принимаемые пациентом внутрь.

Прописываются врачом только в случаях, когда местная терапия не принесла результатов и десны продолжают кровоточить препараты. Линкомицин, Метронидазол не назначаются, если они использовались для местного лечения и не помогли избавиться от недуга улучшенный полу синтетический аналог. Клиндамицин, как и его предшественник, обладает достаточно узким спектром действия таблетки. Таривид противопоказаны лицам до лет, активное вещество не активно в отношении анаэробных бактерий сильный антибиотик. Нолицин эффективен против большинства патогенных микробов.

Подбором антибиотиков занимается врач, который предварительно берет у пациента мазки из ротовой полости и проводит анализ чувствительности к анти микробным компонентам. В этом случае лечение будет наиболее эффективным. Лечение кровоточив ости десен народными средствами подразумевает использование различных полосканий и примочек. В основном народная медицина использует лекарственные травы, либо другие природные компоненты, не прибегая к промышленной химии. Приведем наиболее простые, эффективные и безопасные рецепты. Для полоскания ротовой полости.

Кора дуба обладает дубильными свойствами, останавливает кровотечение, убивает микробы, способствует ранозажив лению. На два стакана воды берут две столовые ложки измельченной коры. Доводят до кипения и варят минут, после остывания процеживают. Полученным отваром нужно полоскать полость рта три раза в день, в течение двух недель. Ромашка или календула оказывают успокаивающее и противовоспалительное действие. Соотношение такое же, как и при использовании коры дуба. Шалфей мощный природный антибиотик и антисептик.

Траву заваривают из расчета одна столовая ложка на полстакана воды.

Морская соль входящие в состав минералы и микроэлементы способствуют укреплению десен и уничтожению болезнетворных бактерий. Для приготовления раствора чайную ложку соли растворяют в стакане теплой воды. Полоскания проводят дватри раза в день в течение недели. Пищевая сода является природным антисептиком, к тому же обладает обезболивающим эффектом. На стакан теплой воды берут чайную ложку соды. Проводить процедуру следует не более двух раз в день. Примочки и компрессы.

Алоэ давно известно своими целебными свойствами, его экстракт применяется не только в народной медицине. Для лечебных целей используют растения старше трех лет. Разрезав лист вдоль и очистив колючки, его прикладывают мякотью к воспаленным местам на минут. Процедуру проводят не менее трех раз в день. Продолжительность около двух недель.

Оставить комментарий:

 

Для того чтобы оставлять комментарии, необходимо Зарегистрироваться

2016 (c). связь с нами